Bolivianos são detidos com cocaína em cápsulas na Rodovia Castello Branco
Na tarde desta sexta-feira (23), três indivíduos de nacionalidade boliviana foram presos após serem flagrados com cápsulas contendo pasta base de cocaína na Rodovia Castello Branco (SP-280), no município de Itu, interior de São Paulo. O trio, composto por dois homens e uma mulher, caminhava às margens da rodovia, na altura do quilômetro 77, quando foi abordado por agentes da Polícia Rodoviária durante uma operação de rotina.
Abordagem policial e descoberta da droga
Durante a revista pessoal realizada pelos policiais, foram encontradas várias cápsulas de cocaína em posse dos suspeitos. Os dois homens detidos confessaram imediatamente ter ingerido parte da substância ilícita antes da abordagem, o que levantou preocupações sobre sua condição de saúde.
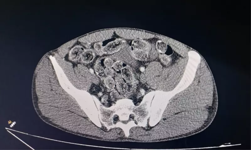
Atendimento médico para expulsão das cápsulas
Devido à ingestão da droga, os dois homens foram rapidamente encaminhados ao Conjunto Hospitalar de Sorocaba (CHS) para avaliação e tratamento médico. Exames realizados no local confirmaram a presença de cápsulas no estômago de ambos, necessitando de intervenção clínica.
Os pacientes passaram por procedimentos médicos específicos para a expulsão do material ingerido e, atualmente, permanecem em observação hospitalar para monitoramento de possíveis complicações. A situação destaca os riscos graves à saúde associados ao consumo e transporte de drogas dessa natureza.
Destino dos detidos e registro da ocorrência
Enquanto isso, a mulher boliviana, que não apresentava sinais de ter ingerido qualquer substância ilícita, foi conduzida à Delegacia da Polícia Federal em Sorocaba. Lá, a ocorrência foi formalmente registrada, e os procedimentos legais seguem em andamento para apurar responsabilidades e possíveis conexões com redes de tráfico.
O caso reforça a atuação contínua das forças de segurança no combate ao narcotráfico nas rodovias paulistas, especialmente em regiões estratégicas como a Castello Branco, que liga importantes centros urbanos.



