Superação: jovem quebra pé antes de teste da PM e vence obstáculo
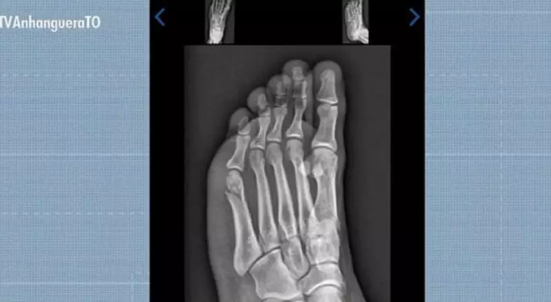
Em uma impressionante demonstração de determinação, o concurseiro Gabriel Santos Rodrigues, de 22 anos, natural de Gurupi, no sul do Tocantins, conseguiu ser aprovado no Teste de Aptidão Física da Polícia Militar mesmo com uma fratura no pé. O acidente ocorreu exatamente 30 dias antes da prova, quando o jovem caía do telhado de sua própria casa enquanto realizava a troca da boia da caixa d'água.
O drama nos segundos finais da corrida
Em entrevista exclusiva à TV Anhanguera, Gabriel revelou os momentos de tensão que viveu durante a prova de corrida, considerada uma das mais exigentes do TAF. "Pensei que não ia conseguir. Consegui fazer as outras etapas, mas no dia da corrida eu estava bastante nervoso", confessou o jovem.
O ápice do drama aconteceu quando faltavam apenas 20 ou 30 segundos para o término do teste. "Quando estava faltando mais ou menos 20 ou 30 segundos olhei no meu relógio e estava faltando completar uma volta de 200 metros, falei 'ah, não vai dar'. Porque por mais que o tempo passe rápido lá na hora, tudo na sua mente passa devagar", relatou Gabriel sobre o momento crítico da avaliação.
Vitória contra o tempo e as circunstâncias
Apesar das dúvidas que assaltaram seu pensamento nos instantes decisivos, Gabriel decidiu continuar correndo, motivado pelo fato de já ter superado todas as outras etapas do TAF. Sua persistência foi recompensada de forma dramática: ele concluiu a prova faltando apenas três segundos para o limite estabelecido.
O Teste de Aptidão Física é uma etapa obrigatória em concursos públicos para polícia, Corpo de Bombeiros e outros cargos similares. Seu objetivo é avaliar se os candidatos possuem condições físicas adequadas para exercer funções que exigem preparo corporal.
No caso específico da Polícia Militar do Tocantins, a avaliação compreende:
- Provas de flexão ao solo
- Flexão abdominal
- Flexão em barra fixa
- Corrida de 12 minutos
- Exames clínicos para atestar capacidade física e prontidão para o serviço
A história de Gabriel Santos Rodrigues se transformou em um exemplo inspirador de que determinação e força de vontade podem superar até mesmo os obstáculos físicos mais desafiadores, servindo de motivação para outros concurseiros que enfrentam dificuldades em sua jornada rumo à aprovação.



