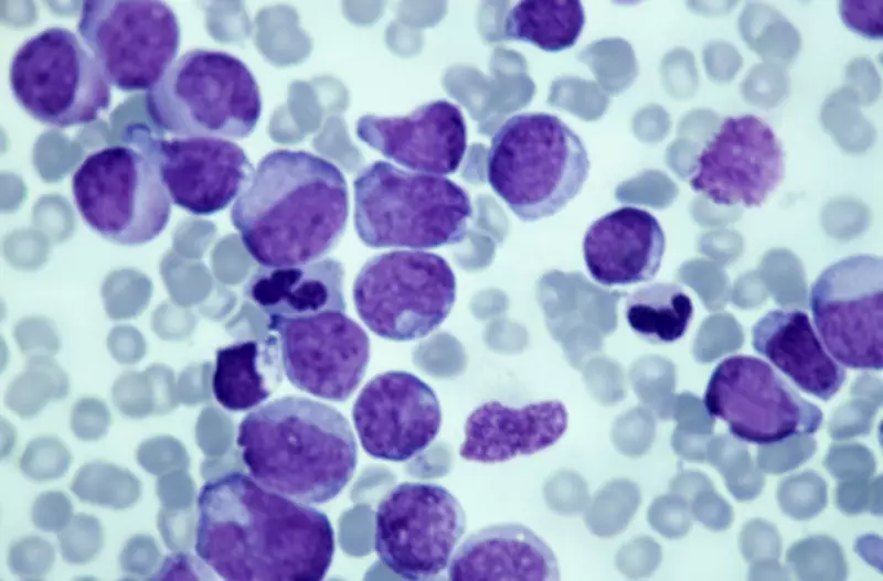
A campanha Fevereiro Laranja, dedicada à conscientização sobre a leucemia, destaca avanços transformadores no tratamento da leucemia mieloide aguda (LMA), um subtipo agudo mais frequente em adultos. A medicina de precisão e as terapias-alvo estão revolucionando as perspectivas para os pacientes, com impactos significativos na sobrevida e qualidade de vida.
Evolução histórica do tratamento da leucemia mieloide aguda
Durante décadas, o tratamento da LMA se baseava principalmente em esquemas de quimioterapia intensiva e, em casos selecionados, transplante de medula óssea. No entanto, essa abordagem apresentava limitações, especialmente para pacientes idosos, que representam a maioria dos casos. A LMA é mais comum em pessoas acima dos 60 anos, faixa etária em que muitos não tinham condição clínica para suportar tratamentos tão agressivos.
Conforme explica a hematologista Elenaide C. Nunes, "em pouco mais de 20 anos trabalhando com leucemias, vi a LMA deixar de ser um diagnóstico com horizonte curto para se tornar uma doença em que uma parcela crescente de pacientes alcança remissões duradouras". Essa mudança de paradigma é resultado de avanços científicos que permitiram compreender melhor a complexidade genômica da doença.
O papel crucial das terapias-alvo na medicina moderna
As terapias-alvo representam uma evolução significativa em relação à quimioterapia tradicional. Enquanto a quimioterapia ataca tanto células cancerígenas quanto saudáveis, as terapias-alvo são medicamentos avançados que agem especificamente em moléculas e proteínas responsáveis pelo crescimento dos tumores, preservando mais as células saudáveis.
Essa abordagem personalizada tem mostrado resultados impressionantes. Na década de 1970, a chance de um paciente idoso com LMA estar vivo cinco anos após o diagnóstico era em torno de 8%. Hoje, com o uso de terapias-alvo baseadas nas assinaturas genéticas específicas de cada paciente, estudos retrospectivos mostram que é possível alcançar mais que o triplo da sobrevida global mediana em algumas mutações, levando metade dos pacientes à remissão.
Desafios no acesso aos testes moleculares no Brasil
Apesar dos avanços terapêuticos, um novo desafio surge: a necessidade de testes moleculares para identificar as alterações genéticas específicas de cada paciente. Atualmente, sabe-se que mais de 86% dos pacientes com LMA têm duas ou mais alterações genéticas simultâneas, tornando essencial a identificação precisa dessas mutações para indicar o tratamento-alvo correto.
No entanto, os testes moleculares capazes de detectar essas alterações ainda são caros e não estão disponíveis de forma ampla no Sistema Único de Saúde (SUS) ou na saúde suplementar. Para muitos pacientes brasileiros, o acesso a esses painéis genéticos só é viabilizado através de projetos de pesquisa, parcerias com centros de referência ou programas de suporte da iniciativa privada.
Um exemplo é o programa IDHentifique, que oferece análise da mutação IDH1 por reação em cadeia da polimerase (PCR) a partir de amostras de medula óssea ou sangue periférico, sem custo para o paciente, mediante solicitação do médico responsável. Essa iniciativa, embora valiosa, não resolve o problema estrutural do acesso universal aos testes moleculares.
Impacto da leucemia no Brasil e importância da conscientização
Segundo estimativas do Instituto Nacional de Câncer (INCA), a leucemia atinge cerca de 11,5 mil brasileiros anualmente. A campanha Fevereiro Laranja, portanto, assume importância crucial não apenas para incentivar o diagnóstico precoce, mas também para discutir o acesso à medicina de precisão e às novas perspectivas de tratamento.
Como destaca a especialista, "meses de conscientização como o Fevereiro Laranja são mais do que um lembrete para incentivar o diagnóstico precoce, mas uma oportunidade para falar do acesso à medicina e a novas perspectivas de tratamento". A sensibilização de gestores para fortalecer políticas públicas que garantam tanto o acesso ao tratamento quanto à testagem adequada é fundamental para avançar no combate à doença.
A medicina de precisão transformou radicalmente o cenário da leucemia mieloide aguda, oferecendo esperança onde antes havia prognósticos sombrios. No entanto, o desafio brasileiro reside em democratizar o acesso aos recursos diagnósticos que tornam possível essa revolução terapêutica, garantindo que os avanços científicos beneficiem todos os pacientes, independentemente de sua condição socioeconômica.



