Vacina contra herpes-zóster associada a menor risco de demência
Pesquisa publicada na The Lancet com mais de 230 mil pessoas no Canadá encontrou associação entre vacinação e redução de 2% no diagnóstico de demência em idosos.
Pesquisa publicada na The Lancet com mais de 230 mil pessoas no Canadá encontrou associação entre vacinação e redução de 2% no diagnóstico de demência em idosos.
Rio Grande do Sul enfrenta onda de calor com temperaturas até 5°C acima da média, chegando a 40°C. Cardiologista alerta para riscos à saúde e indica os melhores horários para atividades físicas.
Bianca Victória, de 19 anos, emociona-se ao voltar a ouvir após cirurgia em Teresina. Perda auditiva degenerativa desde a infância foi superada com procedimento médico especializado.
Pesquisa italiana com 802 sobreviventes de câncer mostra que alto consumo de alimentos ultraprocessados eleva risco de mortalidade em 57%. Estudo observacional reforça a importância da dieta na longevidade pós-tratamento.
Listas compartilhadas com sincronização em tempo real. Sem cadastro — abra e compre junto.
RecomendadoPesquisa financiada pelo governo dos EUA mostra que diagnósticos de câncer em 2020 e 2021 tiveram pior sobrevivência no curto prazo, com cerca de 17,4 mil mortes extras.
A farmacêutica Novo Nordisk protocolou na Anvisa pedido para comercializar a versão em comprimidos do Wegovy, medicamento para obesidade. A versão oral já foi aprovada nos EUA, mas no Brasil ainda aguarda análise técnica e definição de preços.
Pesquisa publicada na JAMA Psychiatry revela que a dieta cetogênica, rica em gorduras e proteínas, pode oferecer benefícios complementares para pacientes com depressão resistente a medicamentos.
Especialista alerta sobre perigos de substitutos naturais para medicamentos como Viagra. Instituto Homem une ciência e psicologia em tratamento personalizado para saúde masculina, presente em 20 cidades.
Gerwyn Tumelty enfrentou a neuralgia do trigêmeo, considerada a condição mais dolorosa. Após cirurgia, adotou banhos de gelo para lidar com a saúde mental e alerta sobre diagnóstico precoce.
Listas compartilhadas com sincronização em tempo real. Sem cadastro — abra e compre junto.
RecomendadoExcesso de telas, estresse crônico, sedentarismo e má qualidade do sono estão contribuindo para diagnósticos mais precoces de Alzheimer, com sintomas que vão além da perda de memória. Campanha Fevereiro Roxo alerta para importância do diagnóstico precoce.
Uma equipe do Instituto do Coração partiu de São Roque para captar o coração de um bebê de três meses em Jaú, destinado a uma criança de três anos em São Paulo. A chuva impediu a aterrissagem na fazenda, suspendo temporariamente a operação apoiada pelo Tr
Pesquisa espanhola combinou três medicamentos e conseguiu eliminar tumores pancreáticos em camundongos. Estudo pioneiro pode revolucionar tratamento do câncer mais agressivo.
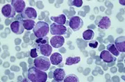
A medicina de precisão revoluciona o tratamento da leucemia mieloide aguda, com terapias-alvo triplicando a sobrevida em alguns casos. No Brasil, o acesso a testes moleculares para diagnóstico personalizado ainda é um obstáculo crítico.
A comediante Evelin Camargo diagnosticou BIA-ALCL após inchaço repentino na mama. Especialistas explicam sintomas, riscos e importância do acompanhamento médico regular.
Listas compartilhadas com sincronização em tempo real. Sem cadastro — abra e compre junto.
RecomendadoRelatório da American Cancer Society revela que sete em cada dez pacientes com câncer nos Estados Unidos vivem pelo menos cinco anos após o diagnóstico, marcando avanço histórico no tratamento oncológico.
Discussão no BBB 26 sobre hormônios revela equívocos comuns. Médicos explicam que testosterona e progesterona estão presentes em ambos os gêneros, com funções distintas, e não definem virilidade.
Estudo global da OMS e IARC publicado na Nature Medicine mostra que 37,8% dos novos casos de câncer em 2022 poderiam ser prevenidos com redução de fatores de risco como tabagismo, infecções e álcool.
Reino Unido registrou 1.296 casos de pancreatite associados a medicamentos como Ozempic e Mounjaro, com 19 óbitos. Entenda os tipos da doença, sintomas e tratamento necessário.
Médicos alertam que azia persistente não deve ser ignorada, pois pode ser sintoma inicial de câncer de esôfago, doença agressiva com baixa sobrevivência se diagnosticada tardiamente.
Listas compartilhadas com sincronização em tempo real. Sem cadastro — abra e compre junto.
RecomendadoOncologista alerta para aumento de casos de câncer em menores de 50 anos e destaca que sintomas persistentes, como fadiga e perda de peso, não devem ser ignorados.
O vírus Nipah, altamente letal, tem morcegos frugívoros como reservatórios naturais. Especialistas explicam os riscos de transmissão e por que o Brasil ainda não registra casos, mas alertam para a importância da vigilância.
Agência amplia indicação do princípio ativo de Wegovy e Ozempic para prevenção cardiovascular em adultos com obesidade ou doença cardíaca estabelecida, visando reduzir 400 mil mortes anuais no Brasil.
A Anvisa aprovou novas indicações para Wegovy e Ozempic, incluindo prevenção cardiovascular e tratamento renal. Agência também avalia pedido de versão oral do Wegovy.
Especialista explica que o vírus Nipah, com taxa de mortalidade de até 75%, tem baixo potencial pandêmico. Casos recentes na Índia são monitorados, mas transmissão entre humanos é limitada.
Listas compartilhadas com sincronização em tempo real. Sem cadastro — abra e compre junto.
RecomendadoSubstância desenvolvida pela UFRJ, a polilaminina, recebe autorização da Anvisa para fase 1 de testes clínicos. Estudos preliminares mostram recuperação de movimentos em pacientes com lesões graves na medula espinhal.
O hospital Vall d'Hebron em Barcelona anunciou um transplante facial histórico onde a doadora ofereceu seu rosto antes de um procedimento de morte assistida. A receptora Carme recupera-se após cirurgia complexa que envolveu 100 profissionais.
Anvisa aprova uso da semaglutida para redução de eventos cardiovasculares. Estudo revela que proteção cardíaca não depende da quantidade de peso perdida, abrindo novos horizontes para tratamento.
Pesquisa publicada na JAMA indica que consumo moderado de café não eleva chances de fibrilação atrial e pode até oferecer benefícios cardiovasculares, desafiando mitos antigos.
Cordeiro e Nova Friburgo, na Região Serrana do Rio, ganham reconhecimento internacional por casos de longevidade extrema validados pela LongeviQuest. Dona Conceição, de 108 anos, participa de pesquisa da USP sobre envelhecimento saudável.
Listas compartilhadas com sincronização em tempo real. Sem cadastro — abra e compre junto.
RecomendadoPesquisadores brasileiros identificaram diferenças clínicas entre a febre Oropouche e a dengue durante surto em Manaus. Estudo publicado na PLOS ajuda no diagnóstico diferencial.